最近娱乐圈可是热闹非凡呢!王菊和沈梦辰这两个女明星,最近可是频频成为话题焦点。今天,就让我来给你揭秘一下她们最新的爆料,让你一睹...
你知道吗?最近网上可是炸开了锅,因为一只名叫森野的小猫咪的视频被它的“大哥”给爆出来了!这可不是一般的猫咪,这可是个拥有超高人气...
最新爆料:张安乐是真的吗?最近,网络上关于张安乐的爆料层出不穷,各种说法纷至沓来。那么,张安乐究竟是不是真的呢?今天,我们就来一...
最近有没有听说《火影手游》的体验服又有了新动态?没错,就是那个让我们热血沸腾的忍者世界,又有了新的爆料!今天,就让我带你一起深入...
娱乐圈爆料小郭最新消息:揭秘明星背后的故事亲爱的读者们,今天我要给大家带来一个娱乐圈的热门话题——小郭的最新消息。相信大家对他都...
你有没有想过,有时候一部电影或者电视剧,就像是一扇窗,透过它,我们可以窥见另一个世界,感受不同的生活。今天,我要给你介绍的就是这...
你知道吗?最近娱乐圈可是炸开了锅,因为有一位超级巨星的视频曝光了!没错,就是那位才华横溢、音乐风格独特的伍佰!让我们一起揭开这神...
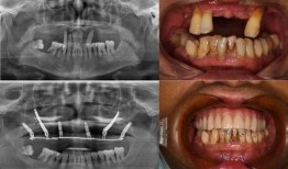
最近佛山那边的种牙事件可是闹得沸沸扬扬的,咱们得好好来聊聊这个话题。你有没有想过,一颗牙齿的种植竟然能引发这么大的波澜?那就让我...
你知道吗?娱乐圈里那些光鲜亮丽的明星们,背后可是有着不少营销手段呢!今天,就让我来给你揭秘那些金星级别的爆料,让你看看娱乐圈的营...
最近网络上可是热闹非凡呢!这不,又有一件网红事件被爆出来了,让人忍不住想要一探究竟。今天,就让我带你来揭秘这场风波背后的真相吧!...